Casos

Blanqueamiento

Antes Despues
Antes Despues

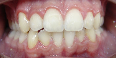
Ortodoncia

Antes Despues
Antes Despues

Ortodoncia en Adulto

Antes Despues

Ortodoncia

Antes Despues
Antes Despues

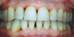
Reconstruccion

Antes Despues

Content on this page requires a newer version of Adobe Flash Player.

Get Adobe Flash player